Mal wieder ein paar Meldungen von der Bechterew-Front, um die in in letzter Zeit sehr ruhig gewesen ist. Seit ich mit der Enbrel-Behandlung begonnen habe (was nun knapp elf Monate sind), spielt die Krankheit ja nur noch eine eher untergeordnete Rolle in meinem Leben. Erstaunlich, wie schnell ich mich daran gewöhnt habe fast völlig beschwerdefrei zu sein. Aber eigentlich hätte ich mir ja ausmalen können, dass das Kapitel der medizinischen Wunder für mich auch irgendwann mal zu Ende gehen würde.
Nach der letzten Blutuntersuchung bei meiner Rheumatologin waren ja beinahe keine Entzündungswerte in meinem Blut mehr nachweisbar und ich konnte den Rhythmus der Enbrel-Injektionen auf alle 14 Tage strecken. Ich bin hier natürlich froh um jede Zeitraumsverlängerung – je weniger von dem Zeug ich mir spritzen muss, desto unwahrscheinlicher werden dann wohl auch die Nebenwirkungen eintreten (um die ich ja bisher weitgehend herumgekommen bin) und desto weniger bockig zeigt sich dann vermutlich auch die Krankenkasse, die bis dato nach wie vor still hält.
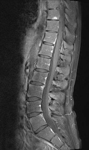
Allerdings zeigten sich schon recht bald nach dem Wechsel, dass 14 Tage dann wohl doch zu lange sind, um den Bechterew vollständig in Schach zu halten. Gegen Ende der jeweiligen Zeitphase bekomme ich neuerdings wieder die ganz klassischen Bechterew-Probleme im Hüftbereich. Die ich schon seit vielen Jahren nicht mehr hatte bzw. nicht mehr wahrgenommen habe, da die anderen durch die Entzündungen ausgelösten Probleme viel deutlicher und drängender waren. Nachdem diese aber ja in den vergangenen Monaten alle geheilt sind, merke ich nun den Beginn neuer Entzündungen recht deutlich. Und die treten dort zutage, wo die Bechterew-Entzündungen klassischer Weise nunmal meistens losgehen. Im Bereich der unteren LWS (Lendenwirbelsäule). Damit einhergehend oder eher dadurch begründet erlebe ich das als eine Art Flashback in längst vergangene und auch verdrängte Zeiten: ich wache gegen Ende der Nacht wieder früher auf, da es keine Position gibt, in der man noch beschwerdefrei liegen könnte. Meine Bewegungsfähigkeit ist die ersten Minuten nach dem Aufstehen wieder etwas eingeschränkt und ich habe meine Wärmflaschen wiederbelebt, da Wärme nach wie vor sehr gut gegen die Schmerzen hilft. Und ich komme mir allgemein ein Bisschen unbeweglicher vor als noch vor Wochen, das kann allerdings auch täuschen. Andererseits verflüchtigen sich all diese Probleme durch genügend Bewegung und ich musste (von einer Ausnahme abgesehen) auch nach wie vor nicht wieder zu Schmerzmitteln greifen. Dennoch: Im Körper passiert wieder etwas.
